Neish Dentistry
Dr. Bryan Neish

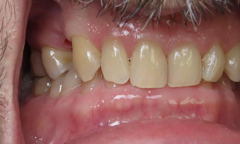
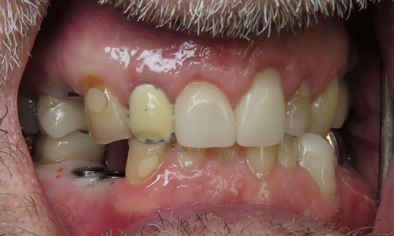
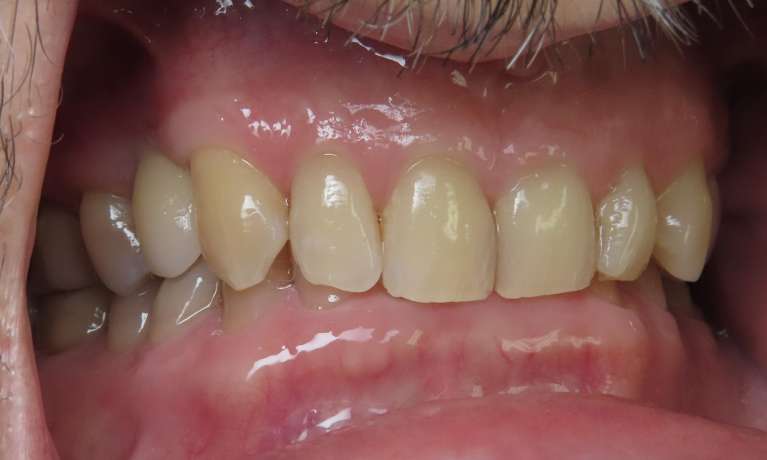
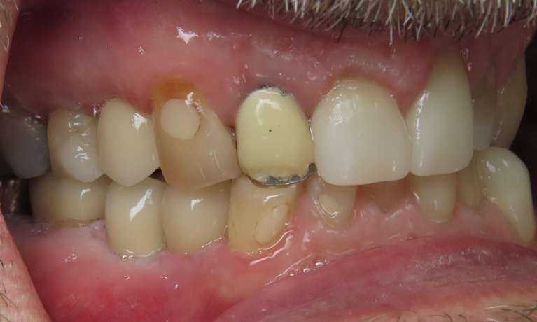
Smile Gallery

Are you considering improving your smile in Beaverton, OR? Take a look at some of the transformations we've created for our patients at Neish Dentistry! If you like what you see, give our friendly office a call at 503-641-1600 today!

We Warmly Welcome New Patients to Our Practice
They have the best technology!
If you have difficulty using our website, please email us or call us at (503) 641-1600
View the ADA Accessibility Statement